resumen del caso

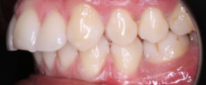
Se muestra el caso de una paciente en el que se realiza un VTO en el diagnóstico como guía para el tratamiento ortodóncico. El resultado fue la realización de la exodoncias de 14 y 24 para retruir los incisivos superiores y el manejo del espacio en la arcada inferior, con ausencias de 34 y 44, para centrar la línea media inferior y retruir el incisivo inferior.

Además, no menos importante, hay otros problemas que solucionar: la corrección del canting oclusal; la exodoncia del 18;etc.

¿Qué es el VTO? El VTO es una herramienta que nos permite analizar el movimiento dental relativo a la corrección de los primeros molares, caninos y líneas medias. Una herramienta que resulta tremendamente útil para confirmar la necesidad de realizar extracciones o no.

 

DIAGNÓSTICO Y PLAN DE TRATAMIENTO (CUADRO)
PÉRDIDA ÓSEA GENERALIZADA EN MANDÍBULA ( ORTOPANTOMOGRAFÍA);EXODONCIA DE 18
PROTRUSIÓN DE INCISIVOS SUPERIORES RETRUSIÓN MEDIANTE EXODONCIAS DE 14 Y 24;

ANCLAJE ESQUELÉTICO

PROTRUSIÓN DE INCISIVOS INFERIOR RETRUSIÓN MEDIANTE MANEJO DEL ESPACIO POR

AUSENCIA DE 34 Y 44.

DESVIACIÓN LÍNEA MEDIA INFEROR HACIA LA IZQUIERDA CENTRAR LÍNEA MEDIA INFERIOR
MESIALIZACIÓN DE 36 Y 37 ENDEREZAMIENTO: POSICIONAMIENTO ESTRATÉGICO

DE BRACKETS, MUELLES.

CANTING OCLUSAL INTRUSIÓN CI; EXTRUSIÓN CII

 

PLAN DE TRATAMIENTO

APARATOLOGÍA MULTIBRACKETS 7-7 (022MBT)

TADS EN CUADRANTE I,II,III Y IV.

EXODONCIAS DE 14 Y 24

 

 

(tiempo estimado 22-24 meses)

ANÁLISIS DEL PROBLEMA

Manos a la obra. En este apartado se explicará la decisión de la exodoncias y el VTO. Presentamos un esquema del VTO, y luego lo explicamos.

0           7,5←                                        → 7,5       0


0           3,7←                      3←              →3,7      →1,5


INFERIOR DERECHA IZQUIERDA
3X3 0 0
7X7 0 0
POSICIÓN DE INC.INF -3,7 -3,7
SPEE -0,75 -0,75
L.MEDIA -3 +3
3X3(TOTAL) -7,5 -1,5
7X7(TOTAL) -7,5 -1,5

 

El resultado que obtuvimos tras realizar dicho análisis fue el siguiente:

a) En la arcada superior: exodoncias de primeros premolares superiores( tamaño dental: 7,5mm) y uso de anclaje absoluto ( mediante dispositivos de anclaje esquelético), ya que la protrusión del incisivo superior era de 10,5 y la norma se sitúa en 4.

A eso hace referencia al número 7,5 de la parte superior y la flechita hacia atrás, que indica la retrusión que debemos hacer de los incisivos superiores. Dicho de otra manera el espacio que se obtiene de la exodoncias de 14 y 22, se consume al llevar los incisivos superiores hacia atrás. De ahí, el uso de microtornillos, para que los molares superiores no se mesializen.

B) En la arcada inferior: la situación es distinta, ya que el paciente, tiene ausencia de 34 y 44. Además  cursa con una desviación de la línea media inferior hacia la izquierda de 3mm. También, en el cuadrante 3, se ha consumido el espacio de dicha pieza ausente, por inclinación corono mesial de 36 y 37 por lo que nos vemos en la necesidad de recuperar ese espacio perdido. Al realizar el estudio, nos damos cuenta que la necesidad retrusión del incisivo inferior es 3,75. ( la norma es 1, y están en 4,7). Además analizamos, la curva de Spee, y para nivelarla necesitamos 0,75 por hemiarcada.

En el cuadrante IV, el espacio disponible de 7,5 se consume de la siguiente manera: centrado de la línea media(3mm), spee(0,75mm) y retrusión de incisivo inferior (3,7). Un total de 7,5 mm. De ahí, la necesidad de usar microtornillos en el cuadrante IV, para evitar la mesialización de los molares inferiores.

En el cuadrante III, no tenemos espacio, pero centrar la línea media, obtenemos 3mm. Por otro lado, perdemos 3,75 al retruir el incisivo inferior y 0,75mm por nivela spee, en un balance general de -1,5mm. Es por eso que en este cuadrante, es necesario enderezar 36 y 37, recuperar ese espacio perdido de 1,5mm, para que las cuentas salgan una vez más en la oficina.

 

 

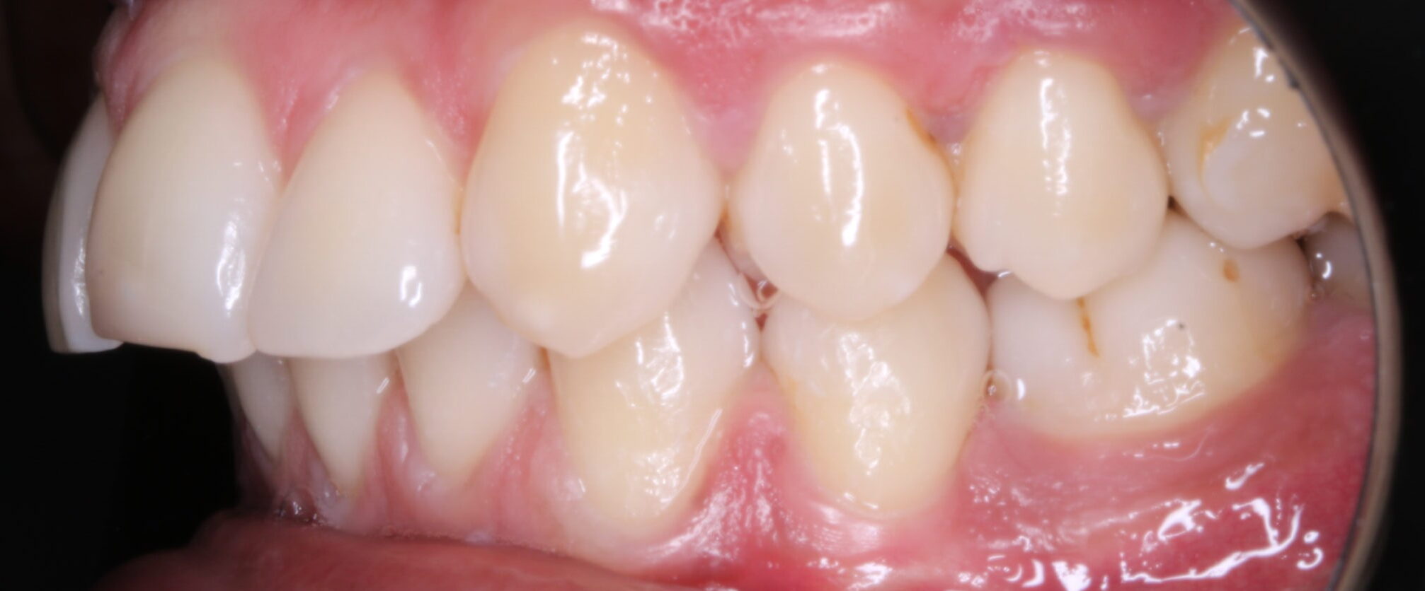
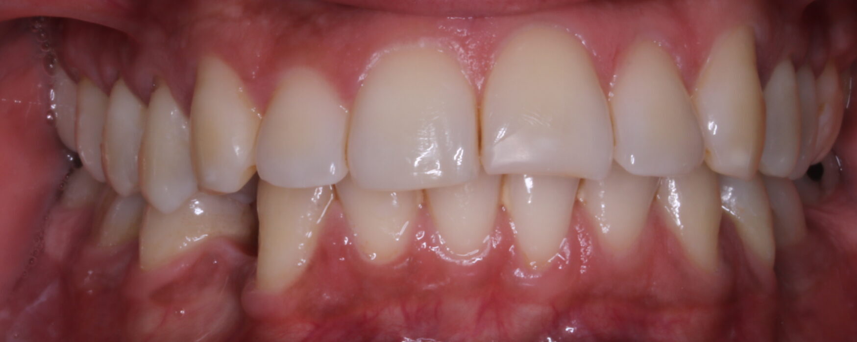
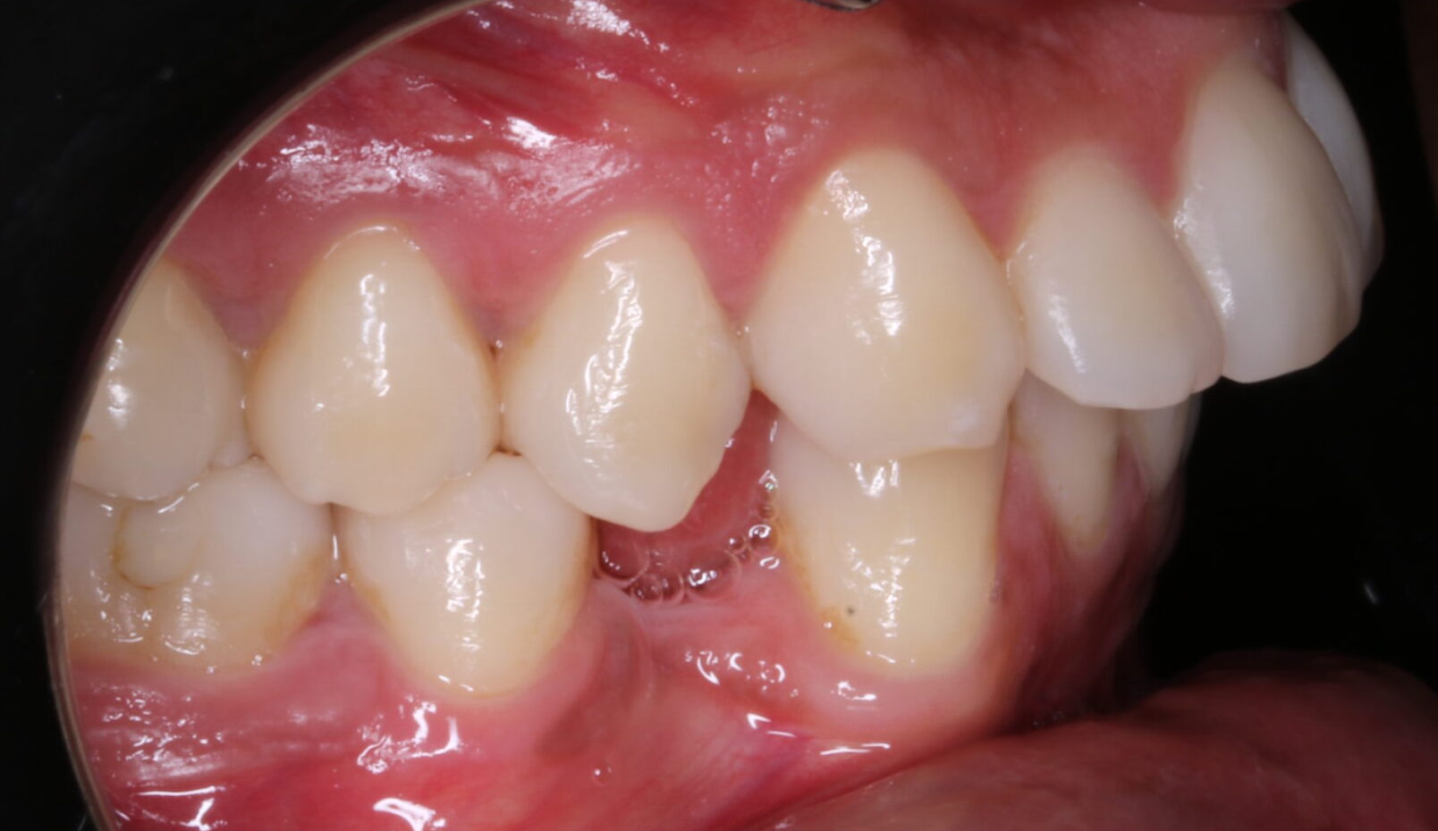
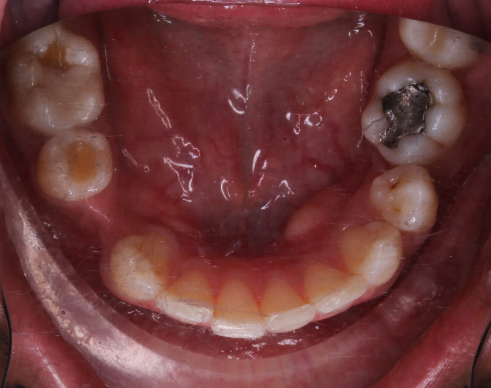
FOTOGRAFÍAS DE INTERÉS
TRES APRENDIZAJES Y REGISTROS FINALES

APRENDIZAJES

-Saber utilizar de forma correcta la herramienta del VTO.

AUTORES RECOMENDADOS

-Análisis del movimiento dental ortodóncico- VTO dental. (R. Mclaughlin; J.Bennett

Logo ortodoncia Juan Osorio
Resumen de privacidad

Esta web utiliza cookies para poder ofrecerte la mejor experiencia de usuario posible.

La información de las cookies se almacena en tu navegador y realiza funciones tales como reconocerte cuando vuelves a mi web o a ayudarme a comprender qué secciones de la web encuentras más interesantes y útiles.

Tienes toda la información sobre privacidad, derechos legales y cookies en mi política de privacidad.