resumen del caso

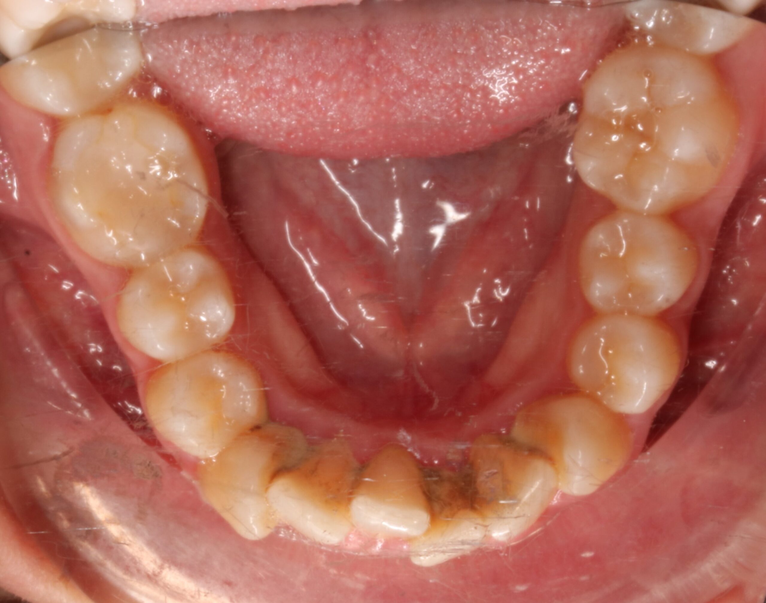
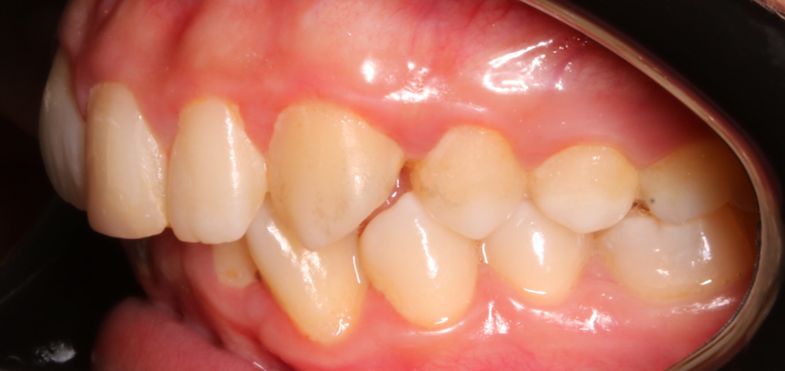
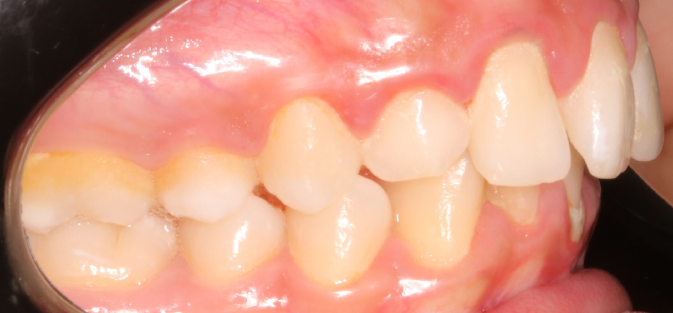
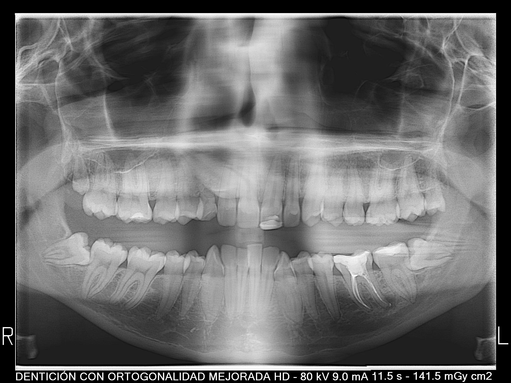
Se muestra el caso de una paciente con un canino incluido en el paladar (pieza 13).

Como principal escollo, nos encontramos con una activa enfermedad periodontal y una deficiente higiene oral. También hay otros problemas secundarios que no hay que desdeñar: apiñamiento inferior con Bolton; leve apiñamiento anterosuperior; malposición de los cordales 48 y 38; rotación del 23; ligera clase II en el lado derecho entre otros. De primera hora se le comunicó a la paciente que antes de empezar el tratamiento de ortodoncia era necesario realizarse de periodoncia, y que después el/la profesional de esta disciplina, nos confirmara que podíamos empezar nuestro trabajo. También, avisamos de la importancia, de que durante el tratamiento, era necesario acudir al periodoncista cada 2 meses y mejorar la higiene oral.

El objetivo de este caso clínico es explicar el manejo clínico del canino incluido por palatino.

DIAGNÓSTICO Y PLAN DE TRATAMIENTO (CUADRO)
CANINO INCLUIDO POR PALADAR(13) TRACCIÓN DE 13 CON TADS Y WARREN SPRING( TORQUE)
APIÑAMIENTO INFERIOR IPR 42-32 (BOLTON) + PROTRUSIÓN INERIOR
CLASE II LEVE GOMAS CLASE 2 LEVE
PACIENTE PERIODONTAL PERIODONCIA ANTES Y DURANTE EL TRATAMIENTO
PRESENCIA DE 18,18,38 Y 48 EXODONCIA 18,28,38,48

 

PLAN DE TRATAMIENTO

APARATOLOGÍA MULTIBRACKETS 7-7 (022MBT)

TADS PARA TRACCIONAR DEL 13

 

(tiempo estimado 22-24 meses)

ANÁLISIS DEL PROBLEMA

PREGUNTAS SENCILLAS SOBRE EL CANINO INCLUIDO Y RELACIÓN CON EL CASO CLÍNICO

A) ¿Qué es? se define como un retraso en la erupción dentaria, pues a los 12-13 años el 80 % ha erupcionado. La prevalencia suele ser de un 6% y en el 75% de los casos ocurre de manera unilateral y por palatina. Se define como canino retenido cuando hay una erupción atrasada y no hay una barrea física que impide su erupción.

-En nuestro caso la paciente tenía una edad de 20 años.

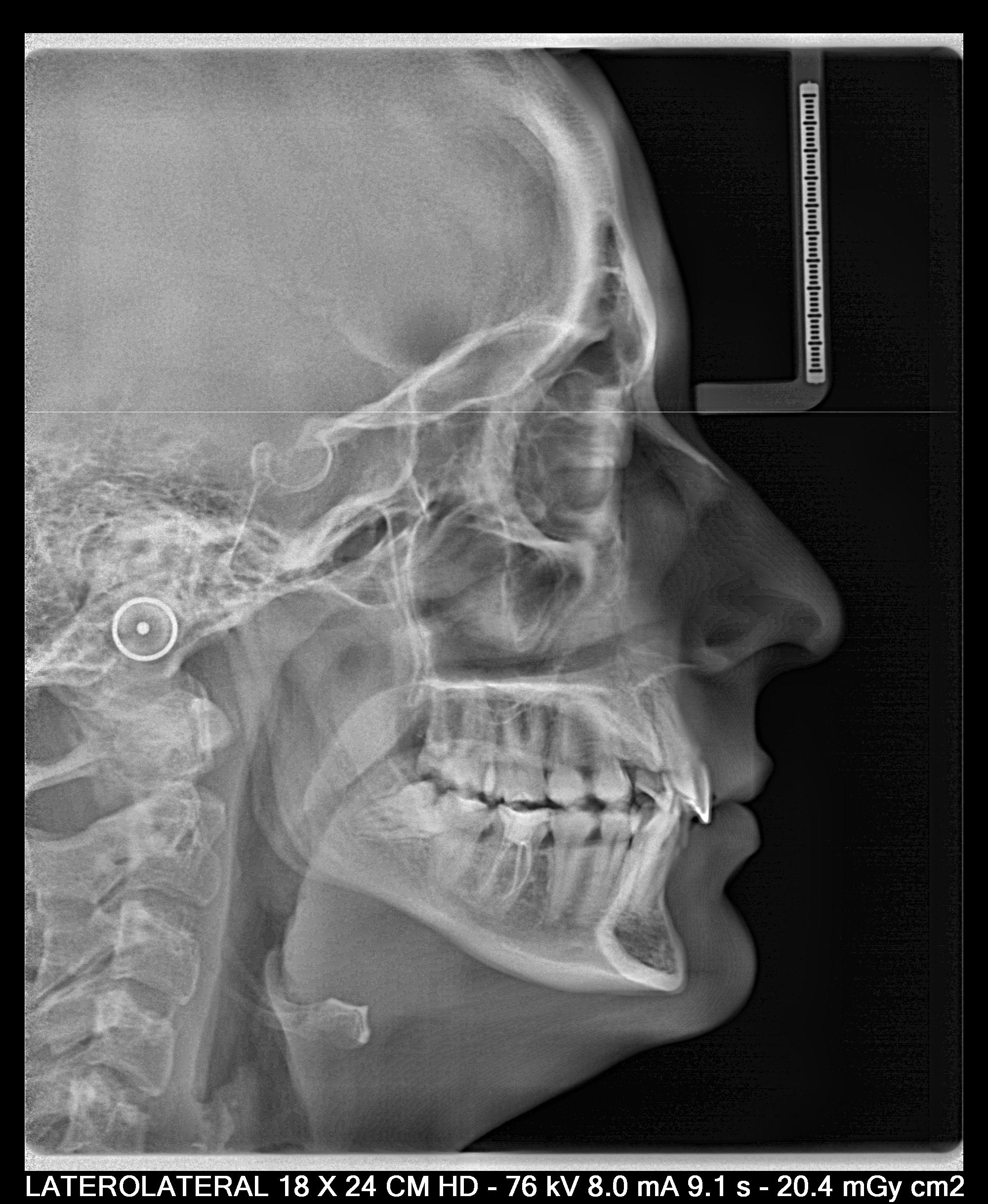
B) ¿Cómo se diagnóstica? Palpación a los 9-10 años; ortopantomografía; CBCT.

-Particularmente, cuando reconozco mediante la palpación o la ortopantomografía que hay una canino incluido por palatino, por protocolo, como en este caso, hago un CBCT. El motivo es porque esta prueba diagnóstico nos permite reconocer de una manera tridimensional el lugar del canino en la boca.

C) ¿Está el canino incluido por palatino asociado a otros posibles hallazgos clínicos? Si. ¿Cuáles?  Disto angulación de los segundos premolares; infra oclusión de dientes temporales; microdoncia de incisivos laterales superiores; agenesia de un incisivo lateral superior o de terceros molares.

-En este caso no se encontraron ninguno de eso hallazgos clínicos frecuentes.

D) ¿Hay métodos de prevención  para evitar un posible canino por palatino? Si el paciente tiene discrepancia transversal: disyunción y exodoncia de canino y primer molar temporal; si no existe discrepancia transversal: barra transpalatina y exodoncia de canino y primer molar temporal; si existe clase II molar: distalización superior.

E) ¿Cómo de complicado es mi canino  incluido? ( Método Erickson y Kurol) (fotografías de interés)

-Altura del canino respecto al plano oclusal. A mayor distancia, mayor dificultad.

-Angulación entre la línea del canino y una perpendicular horizontal desde la zona apical. A menor angulación, mayor dificultad. (31 grados: mal pronóstico)

Posición del ápice ( punto clave, pues el movimiento radicular es extremadamente complicado). A mayor distancia del ápice del canino respecto a su posición ideal mas dificil.

Relación con la línea media. A menor distancia de la línea media, mayor dificultad.

Atendiendo a estos criterios, en nuestro caso, el pronóstico es bueno. Ya que tres de los cuatro criterios son favorables: el ápice se encuentra en una posición ideal, la distancia al plano oclusal no es mayúscula y la inclinación es mayor a 31 grados. Solo la posición de la corona cerca de la línea media aumentaría la dificultad.

F) ¿Cinco generalizaciones más a la hora de tratar estos casos?

-No cementar el incisivo lateral (en nuestro caso el número 12)

-Valorar las necesidades del pacientes.

-Análisis de problemas junto al cirujano a la hora de la toma de la decisión.

-Valorar reabsorciones radiculares o dilaceraciones posibles.

-Hiper tratar el canino. (considerar fibrotomía)

G) ¿Cómo abordar la cirugía de caninos incluidos según la posición de este?

-En caso de que este por vestibular.  Si esta por debajo de la línea mucogingival: gingivectomía; a nivel de la línea mucogingival: colgajo de reposición apical; más allá de la unión mucogingival: erupción cerrada.

-En caso de este por palatino, como en este caso me gusta dejar una ventana abierta (por si se descementa el botón poder volver a cementarlo de manera fácil)

H) ¿Qué movimientos realizar para llevar el canino incluido por palatino a la arcada? Los que menos riesgos conlleven. Es algo similar como aparcar un coche ( no es lo más rápido, si no lo más seguro).

En esta caso lo realizamos de la siguiente manera:

-Primero lo llevamos el canino hacia distal (para alejarlo de las raíces de los incisivos). De manera simultánea, el cantilever tenía asociado un movimiento de extrusión.

-Una vez el canino estaba extruido y alejado de las raíces, creamos el espacio necesario en la arcada y procedimos  a realizar la exodoncia del 53. A la par, que lo llevamos hacia vestibular con arcos de niti.

-En último lugar, y en fase de acero, usamos un brackets de -7 de torque, y con un auxiliar de torque, llevamos la raíz hacia vestibular. 

 

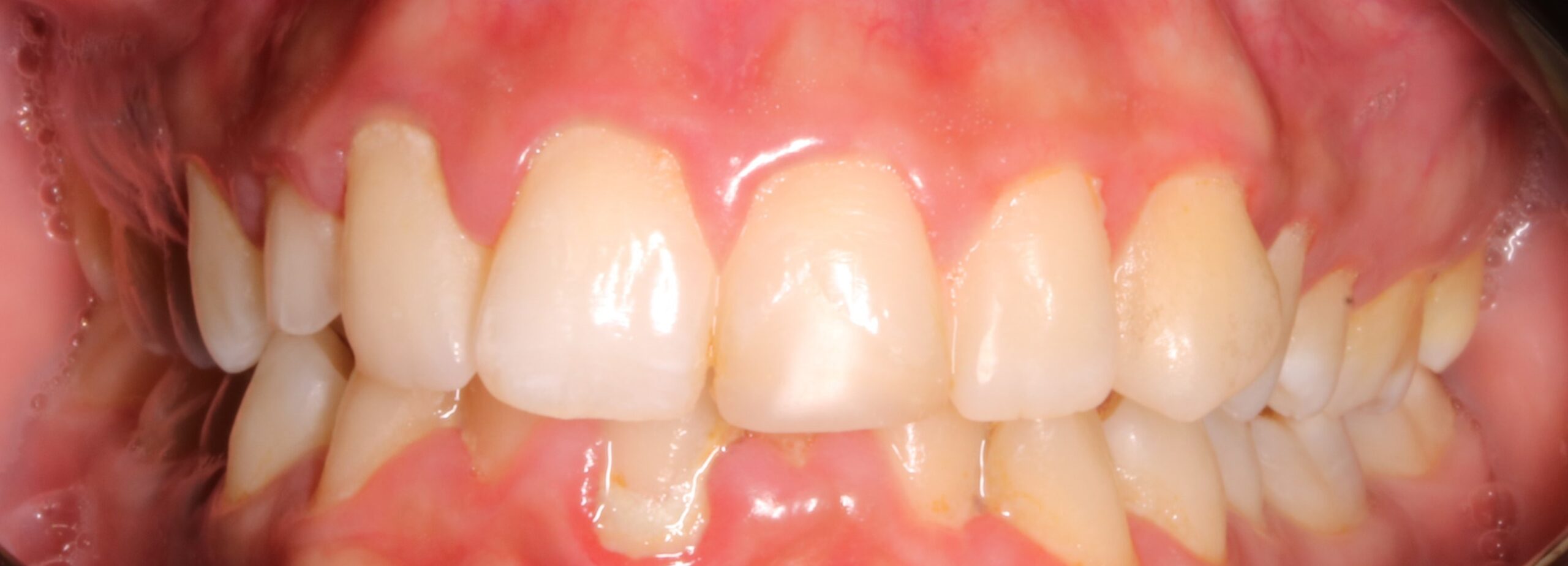
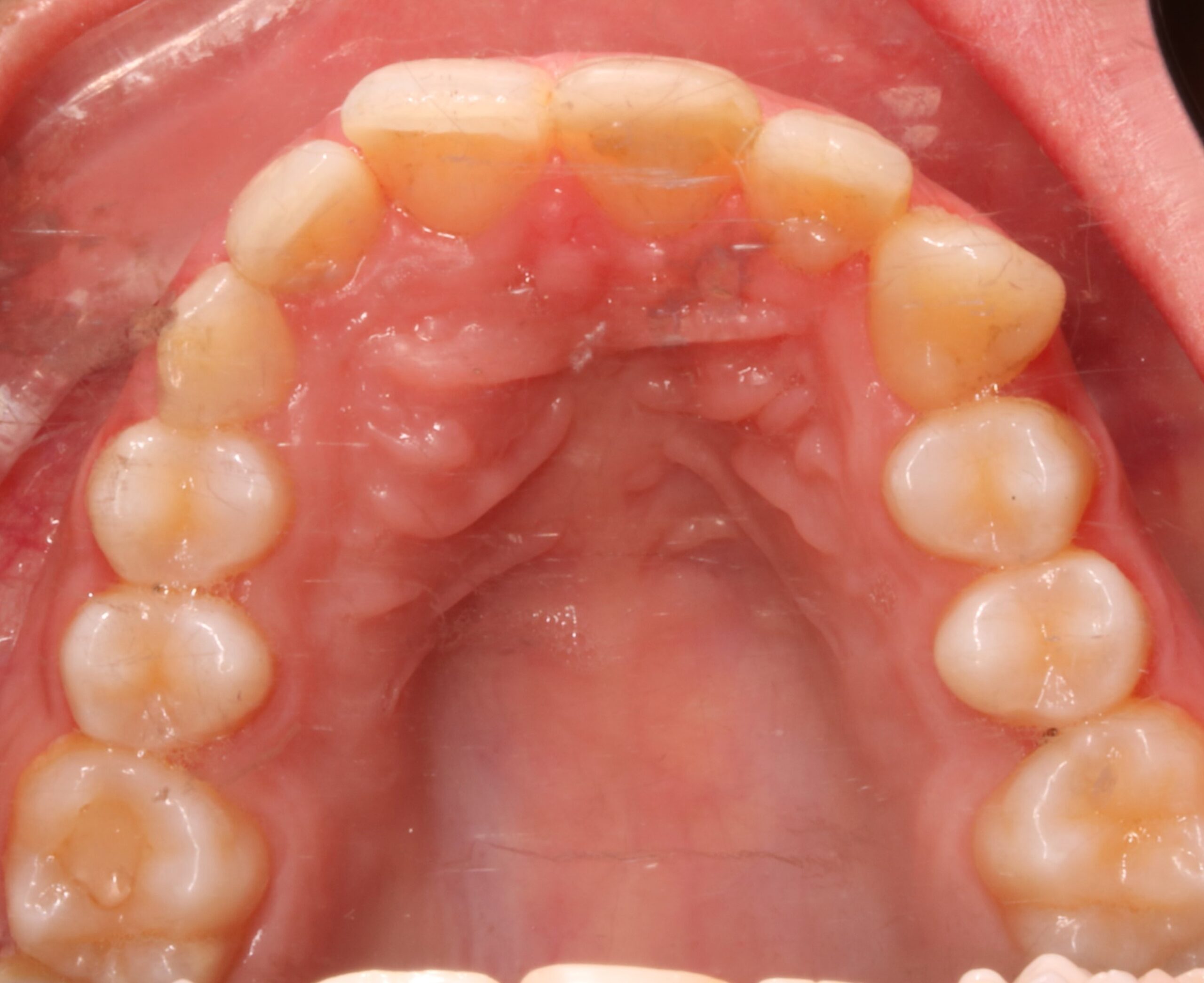
FOTOGRAFÍAS DE INTERÉS
TRES APRENDIZAJES Y REGISTROS FINALES

APRENDIZAJES

-Empezar a mover el canino incluido antes que colocar brackets (con el objetivo de ganar tiempo) y no realizar la exodoncia de 53 antes

de tiempo ( hasta confirmar que no hay anquilosis del 13).

-Usar el cantiver con el microtornillo( sistema determinado de fuerzas)

AUTORES RECOMENDADOS

-Enfoque ortodóncico en el tratamiento multidisciplinario de pacientes adultos. Su relación con la periodoncia.

-Dental Anomaly Patterns (Sheldon Peck)

Logo ortodoncia Juan Osorio
Resumen de privacidad

Esta web utiliza cookies para poder ofrecerte la mejor experiencia de usuario posible.

La información de las cookies se almacena en tu navegador y realiza funciones tales como reconocerte cuando vuelves a mi web o a ayudarme a comprender qué secciones de la web encuentras más interesantes y útiles.

Tienes toda la información sobre privacidad, derechos legales y cookies en mi política de privacidad.