resumen del caso

Nos encontramos con un caso en un timming adecuado para realizar un avance mandibular. También, nos favorece la inclinación el ángulo goniaco de 123 grados y la motivación del paciente. En contra nos perjudica la inclinación del incisivo inferior de 100 grados (lo podríamos controlar con microimplantes en la meseta inferior o alineadores, pero el paciente rechaza ambas opciones). Por otra parte,  en la radiografía frontal observamos un resto radicular en el 16, que decidimos extraer, y a petición del paciente, cerrar el espacio con mesialización del 17.

DIAGNÓSTICO Y PLAN DE TRATAMIENTO (CUADRO)
CLASE II MOLAR Y CANINA BILATERAL CON PERFIL DE MANDÍBULA RETRUSIVA AVANCE MANDIBULAR (CAMBIOS A NIVEL FACIAL+ CLASE I MOLAR Y CANINA)
RESTO RADICULAR DE 16 EXTRACIÓN DEL 16 Y MESIALIZACIÓN DE 17

(USAR MICROTORNILLO DE ANCLAJE INDERECTO 15)

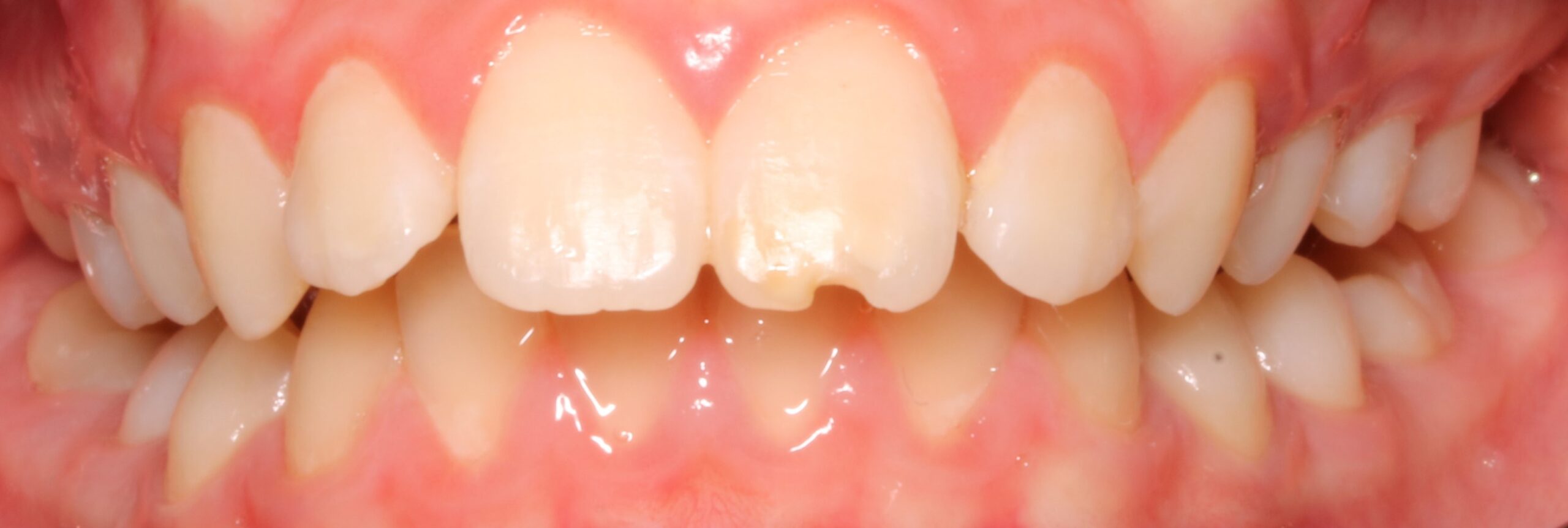
BORDE IRREGULAR EN 21 RECONSTRUCIÓN AL FINAL DE TRATAMIENTO

 

PLAN DE TRATAMIENTO

APARATOLOGÍA MULTIBRACKETS 7-7 (022MBT)

TWIN BLOCK

 

(tiempo estimado 22-24 meses)

ANÁLISIS DEL PROBLEMA

ANALISIS DE LOS FUNDAMENTOS DEL AVANCE MANDIBULAR

-¿Qué es?  Como el nombre indica avanzar la mandibular, o en términos de andar por casa, que el hueso inferior crezca y alcance al superior ( por cierto, este normalmente, según los estudios de Mcnamara, está en un posición retrusiva).

-¿Cómo se trata?: Se trata  preferentemente con un Twin Block , que es el aparato de ortopedia de clase II con mejor bibliografía, donde en un tratamiento de unos 12 meses, con un crecimiento mandibular de 0,26mm/mes, la mandíbula crecerá un total de 3,4 mm.  Para construir dicho aparato por parte del laboratorio, debemos tomar un mordida constructiva al 70%.

No obstante, en los últimos años, algunas casas comerciales de ortodoncia plástica han diseñado aparatos de avance mandibular que se incluyen en los mismos alineadores. Parecen tener muy buena pinta, ya que permiten tener un mayor control sobre la inclinación del incisivo inferior. Desgraciadamente, aún no he probado ningún caso.

-¿Cuándo se trata?  Idealmente, se trata cuando el paciente está en pico de crecimiento prepuberal. Aunque hay excepciones, y se puede tratar antes para evitar problemas de Bulling o riesgo de traumatismo dental.

-¿Por qué tratarlo? Es importante tratarlo en el timming adecuado, porque pasada esa ventana de oportunidad (ya que el pico de crecimiento mandibular coincide con estadio de brote puberal CSIII-CSIV), el avance mandibular se volverá mucho más complicado o imposible. En  adultos la única opción certera y con garantías consiste en la cirugía ortognática.

Por otra parte, tratar esta maloclusión tiene numerosos beneficios: oclusión funcional, mejora la estética facial y autoestima personal, aumentar el espacio de las vías aéreas (repercute en mejora de la respiración), cambios posturales.

-¿Cuál sería el paciente ideal? El paciente con un ángulo goniaco favorable, braquifacial, inclinaciones con Incisvo superior protruido, e incisivo retruido, y donde el paciente es colaborador.

De hecho, según el ángulo Co-Go-Me, aquellos pacientes con un ángulo menor a 125,5 serán pacientes favorables para realizar una ortopedia de clase II , mientras  que aquellos pacientes con un ángulo mandibular mayor serán candidatos para realizar control vertical. De hecho, los pacientes con un ángulo mayor a 128 grados, tienen un desarrollo mandibular de 4,2mm, y aquellos con un ángulo menor a 123, tendrán una cantidad de crecimiento mandibular  de 7,3mm. Por lo tanto deducimos, que a mayor ángulo goniaco, habrá un menor crecimiento mandibular.

-¿Cuánto tiempo? 12 meses 12 hora diarias. Para el éxito es imprescindible la colaboración del paciente.

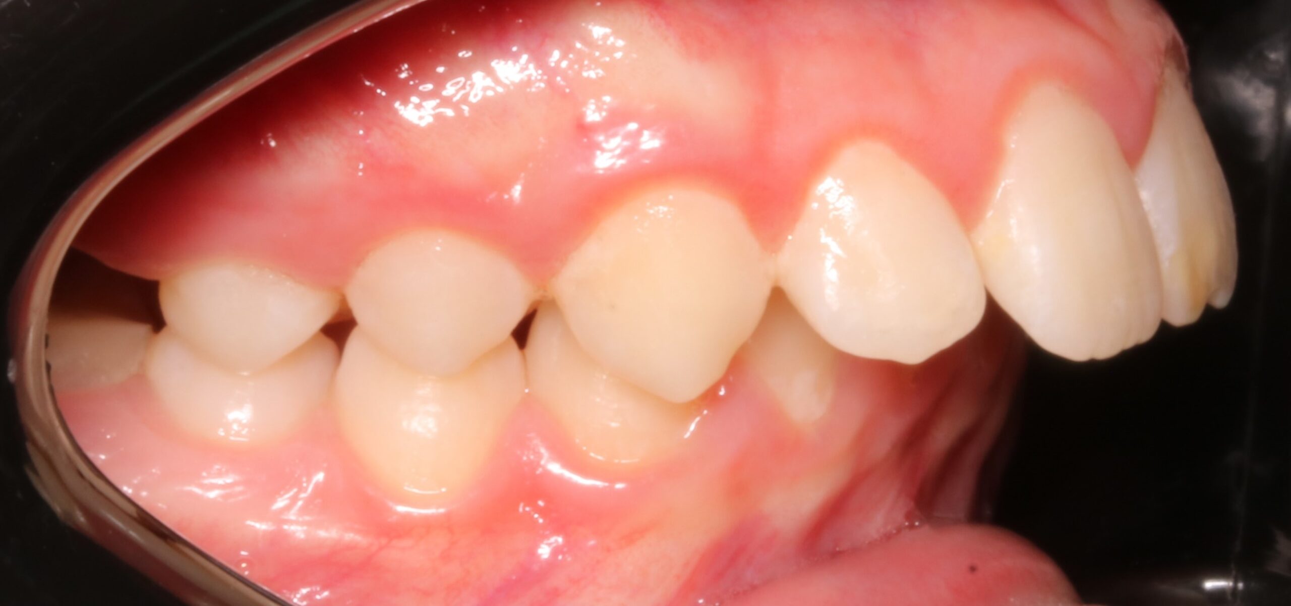
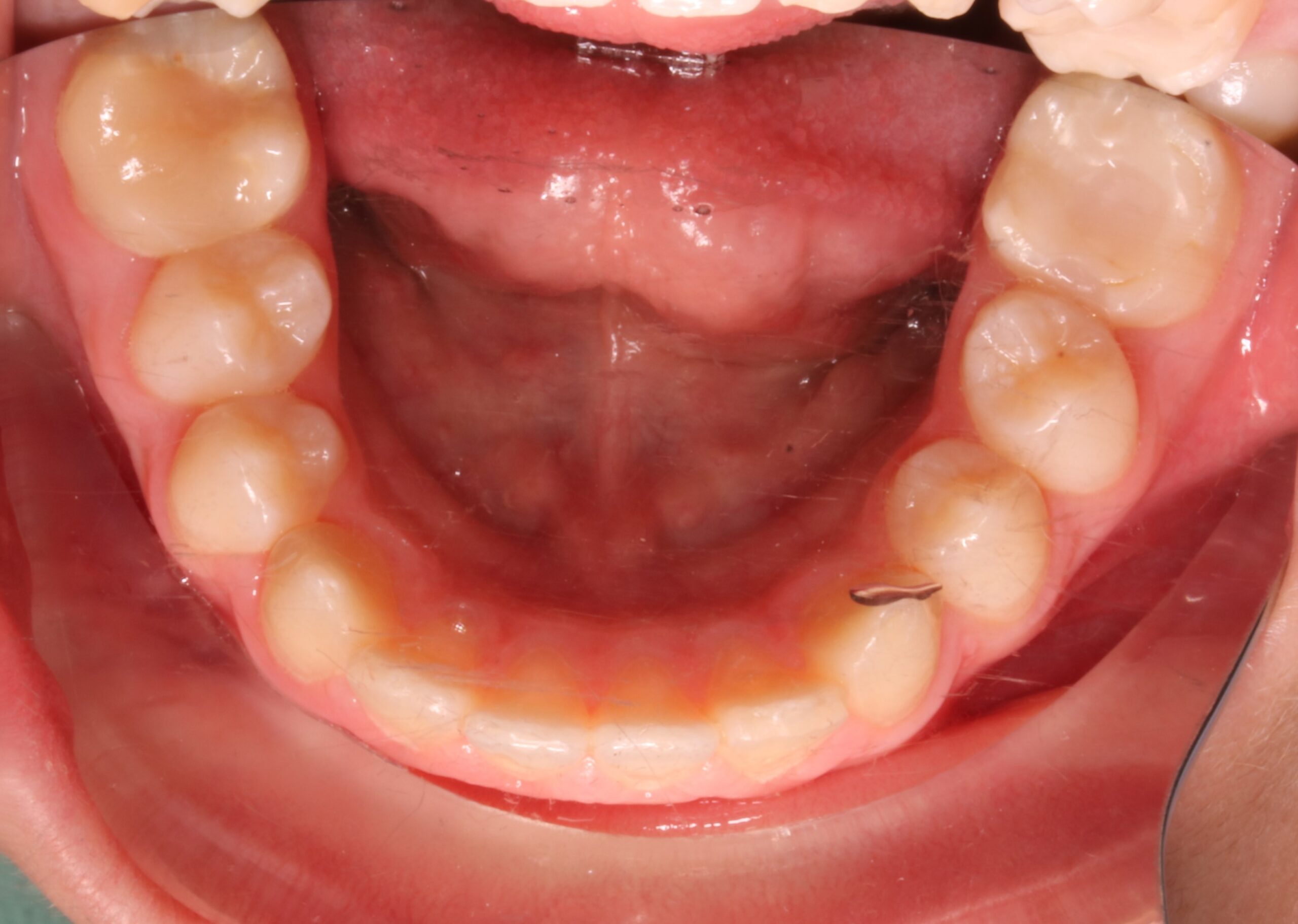
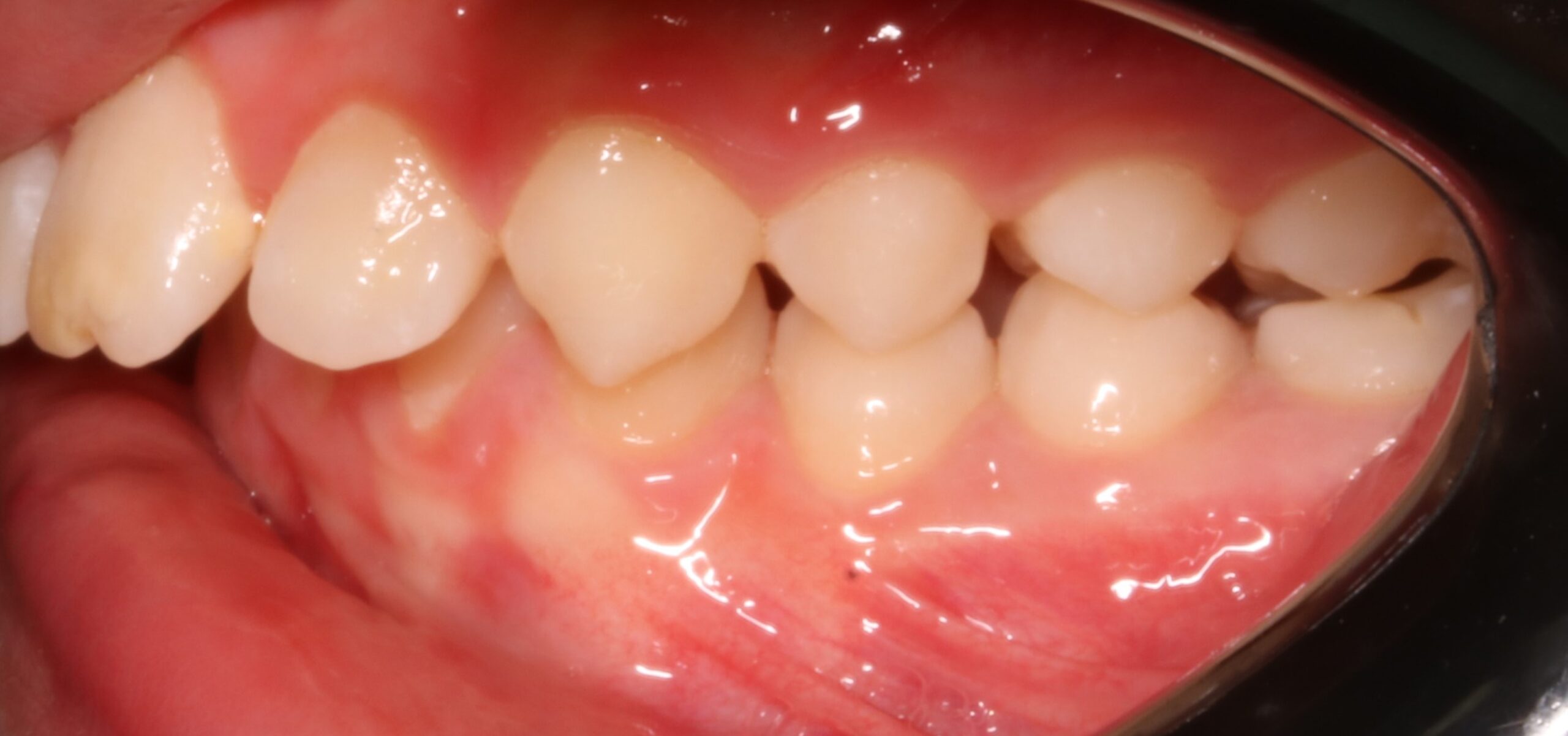
FOTOGRAFÍAS DE INTERÉS
TRES APRENDIZAJES Y REGISTROS FINALES

APRENDIZAJES

-Tener una visión general, simple y práctica sobre el avance mandibular.

-Reto futuro: tratar un caso de avance mandibular con alineadores.

AUTORES RECOMENDADOS

-Blog de Kevin Obrien (lectura de sus artículos respecto al Twin Block)

Logo ortodoncia Juan Osorio
Resumen de privacidad

Esta web utiliza cookies para poder ofrecerte la mejor experiencia de usuario posible.

La información de las cookies se almacena en tu navegador y realiza funciones tales como reconocerte cuando vuelves a mi web o a ayudarme a comprender qué secciones de la web encuentras más interesantes y útiles.

Tienes toda la información sobre privacidad, derechos legales y cookies en mi política de privacidad.