resumen del caso

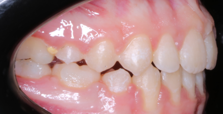
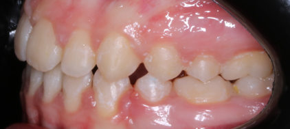
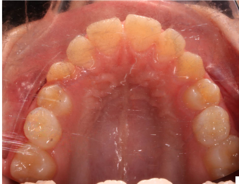
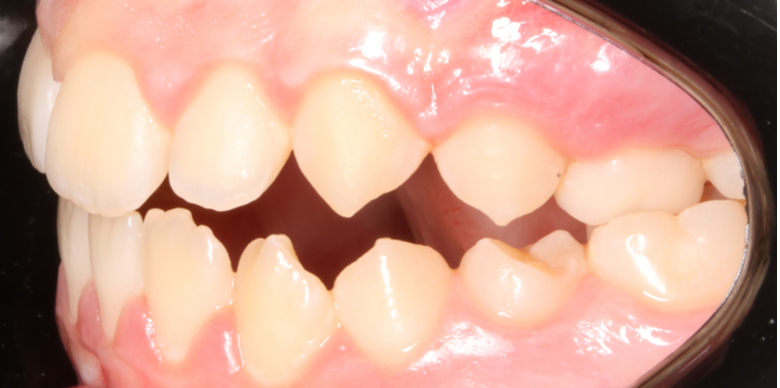
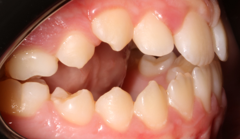
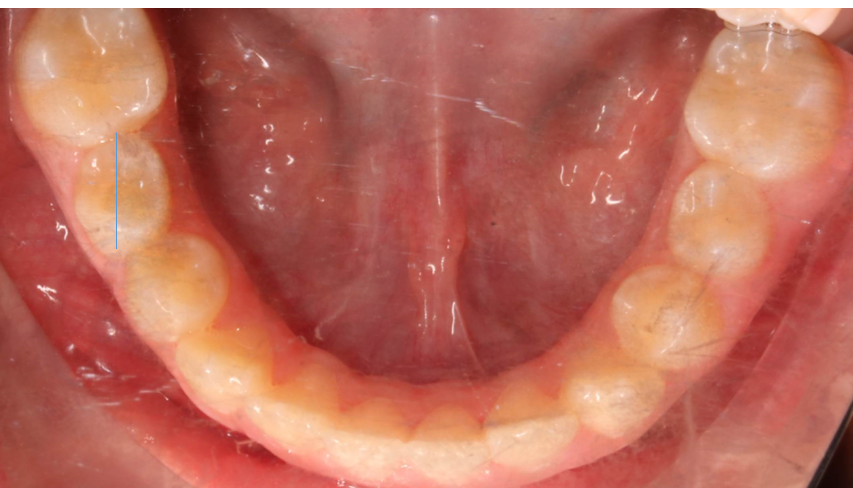
Llama la atención a primera vista la mordida abierta bilateral, especialmente pronunciada entre el cuadrante 1 y 4 debido a una interposición lingual en posición estática. Entre otros hallazgos fundamentales, observamos: un patrón dolicofacial severo (VERT: -2), una compresión de la arcada superior que cursa con un perfil y relación oclusal de clase III y la rotación del 35 y 45. Este caso se trató con un disyuntor, exodoncias de 44 y 34, brackets convencionales y educadores para rehabilitación de la lengua en un tiempo de 22 meses. Aunque estoy satisfecho con el resultado final, me hubiera gustado clavar la interscuspidación de premolares en el cuadrante I y IV, y mejorar la relación oclusal de cuadrante II y III. Sin embargo, lo bonito, es que hay a veces, en la ortodoncia real, que el paciente está satisfecho y quiere terminar antes de tiempo, o por el contrario, que el profesional intenta pero no consigue el resultado deseado. Y a mí más que compartir casos perfectos, me gusta mostrar mis errores, mi realidad.

Por otra parte, a raíz de lo comentado anteriormente, en el apartado de análisis de problemas, elaboraré un protocolo personal y practico de finalizado que me sea fácil de implementar. Además de comentar una ilustración.

DIAGNÓSTICO Y PLAN DE TRATAMIENTO (CUADRO)
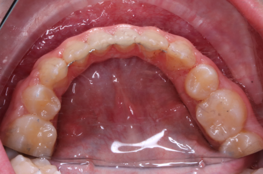
DISCREPANCIA TRANSVERSAL DISYUNTOR MAXILAR
POSICIÓN DE LA LENGUA ENTRE 1ER Y 4 CUADRANTE EN ESTÁTICA REHABILITACIÓN LINGUAL CON LOGOPEDÍA POSTORTODONCIA
PERFIL DE CLASE II CON PATRÓN DOLICOFACIAL; CLASE III OCLUSAL. EXODONCIAS DE 34 Y 44 EN FASE DE SS
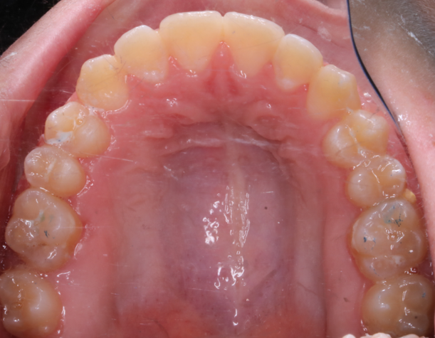
ROTACIÓN DE PREMOLARES INFERIOREROTACIÓN DE 35 Y 45 DESROTAR CON PAR DE FUERZAS CON BOTONES

 

PLAN DE TRATAMIENTO

PASO I: DISYUNTOR MÁXILAR

PASO II: COLOCACIÓN DE APARTOLOGÍA MULTIBRACKETS

  • LOGOPEDIA Y USO DE EDUCADORES LINGUALES.
  • PAR DE FUERZAS PARA DESROTAR MOLARES
  • EN FASE DE SS: EXODONCIAS DE 44 Y 34

TIMEPO ESTIMADO: 22-24 MESES.

ANÁLISIS DEL PROBLEMA

 

1. PROTOCOLO DE ACABADO PERSONAL: SIMPLE Y PRÁCTICO

-PASO A: Cita previa a la colocación de los arcos de acero redondos de 0,16: realización de ortopantomografía. Apuntar en una hoja clínica: paralelismo radicular ( ¿hay alguna raíz que no sigue dicho paralelismo?); posibles espacios residuales; pequeñas rotaciones de dientes ;etcétera.

-PASO B: Cita de la colocación de arcos de acero redondos de 0,16: realizar dobleces con el alicate 422 o recementado de brackets. Usar gomas intermaxilares en tienda de campaña o en triángulo.

-PASO C: Cita de profilaxis con el personal auxiliar.

-PASO D: Cita de retenedor inferior metálico de 3.3. Anotar los cambios conseguidos y ver la posibilidad de retirada de brackets inferiores y superiores, más impresiones para termoplásticas.

-PASO E: Cita para ajuste oclusal y toma de registros finales.

 

2. EXPLICACIÓN DE LA ILUSTRACIÓN (GALERÍA EN MITAD DEL VIAJE)

La ilustración nos deja entrever algo tan fácil como que en un paladar pequeño no entra una lengua grande. Y viceversa, en un paladar grande entra una lengua grande. Llevándonos dicha explicación al caso que nos atañe, podemos ver  en la fotografía lateral del lado derecho como la lengua escapa y busca espacio, de manera permanente, entre el cuadrante 1 y 4,  estímulo que mantenido en el tiempo generó en una mordida abierta lateral.

FOTOGRAFÍAS DE INTERÉS
TRES APRENDIZAJES Y REGISTROS FINALES

APRENDIZAJES

-Es importante tener un protocolo de acabado simple y práctica para intentar finalizar los casos del mejor modo posible.

-Antes de rehabilitar la función, es mejor tratar la forma. Lo que quiero decir que bajo mi punto de vista, en esta paciente, no tenía ningún sentido realizar el trabajo funcional de la lengua, sin previamente haber realizado una disyunción del maxilar superior.

-Tener a mano siempre arcos de 21×25 de acero para completar de nivelar la curva de Spee.

AUTORES RECOMENDADOS

-Esta vez recomiendo encarecidamente seguir la cuenta personal de Instagram del Doctor Christian Calvo, el cual comparte ilustraciones didácticas para explicar conceptos complicados.

*Falta añadir la radiografías finales.

*Falta añadir el historial del caso. (mes a mes)

Logo ortodoncia Juan Osorio
Resumen de privacidad

Esta web utiliza cookies para poder ofrecerte la mejor experiencia de usuario posible.

La información de las cookies se almacena en tu navegador y realiza funciones tales como reconocerte cuando vuelves a mi web o a ayudarme a comprender qué secciones de la web encuentras más interesantes y útiles.

Tienes toda la información sobre privacidad, derechos legales y cookies en mi política de privacidad.